TOPICS
新着情報
正中離開(すきっ歯)治療
こんにちは、えごし歯科医院の江越です。
早いものでもう年末ですね。
昨年、初めて自宅で餅つきをしたのですが、今年もやるかどうか迷って迷って、どうするか決まっていません。
やるならガスかまどを買おうかなと思ってるんですが、それも決まらず。
来年は即断即決でいければ良いなと思ってます。
さて、今回は先日行った治療についてご紹介しようと思います。
症例紹介でも掲載していますが、もう少し解説してみようと思います。
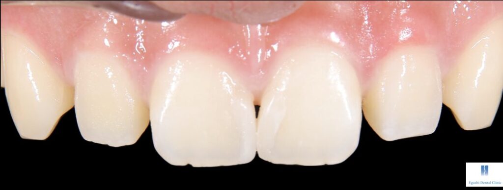
患者さんは10代の女性で、すきっ歯が気になるとのことで来院されました。
初回はお話を聞かせてもらい、気になる部分の確認をしました。

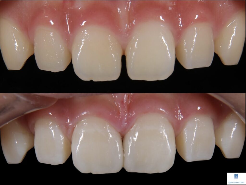
前歯が全体的にすきっ歯の状態でしたが、今回は真ん中をダイレクトボンディングで詰める計画を立て、シミュレーションのための歯型をとりました。
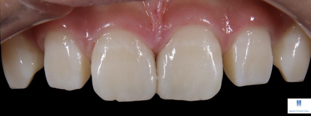
2回目の来院時に模型上で作製したものを装着して、患者さんに出来上がりのイメージを見てもらいました。

詰め物の接着力を最大限に引き出すために、まずはラバーダム防湿をします。

正中離開のケースでは、歯を削る必要はありません。
この状態で歯面の清掃をして、各種接着剤を塗布して、コンポジットレジンを詰めていきます。

今回は治療の方法上、真ん中の歯ぐきを少し潰しているので、その治りの確認とさらに研磨をするためにもう一度来院していただく予定ですが、患者さんには満足してもらいました。
このように、状態によっては全く削ることなく歯の形態を変えることができるのはダイレクトボンディングの一つの醍醐味だと思っています。
すきっ歯の第一選択はやはり矯正治療ですが、このように短期間で改善できることを考えると非常に有効な治療方法だと思います。
すきっ歯でお悩みの方がいらっしゃいましたら、ぜひご相談ください。

ダイレクトボンディングは保険外治療となっております。
こちらのケースの治療費は44,000円です。(1面につき22,000円)
レジンがかけることもあります。
すきっ歯の程度によっては適応外になることがあります。